Dr. Luis Moreno Sánchez
Oncólogo Radioterapeuta
Gerente Radioncología Instituto Nacional del Cáncer Rosa Tavares (INCART)
Savia Care Centro Avanzado de Radioterapia
Presidente Sociedad Dominicana de Radioterapia Oncológica (SDRO)
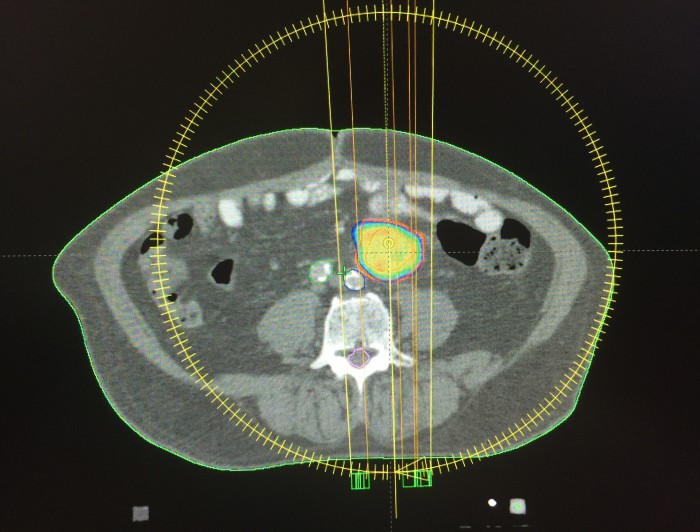
La Radioterapia Estereotáctica Corporal o SBRT por sus siglas en inglés (Stereotactic Body Radiation Therapy), también llamada radiocirugía extracraneal, es una técnica de radiación aplicada a tumores primarios o metastásicos que se encuentren fuera del cerebro, como pulmón, hígado, próstata, vértebras, páncreas y médula espinal, entre otros.
Se realiza en pocas sesiones, sin perder el objetivo del tratamiento, y reúne a un equipo médico multidisciplinario que siempre debe incluir a un oncólogo radioterapeuta, y dependiendo del caso: neumólogos, neurocirujanos, especialistas en imágenes, oncólogos clínicos, cirujanos oncólogos, urólogos, etc.
La radiocirugía extracraneal brinda precisión y exactitud, y requerirá la fusión de tomografías, resonancias y/o PET-CT, además de inmovilizadores adecuados, siendo indispensable la verificación diaria mediante imágenes pretratamiento para localizar el órgano blanco y poder administrar altas dosis de radiación focalizadas, respetando en lo posible los tejidos sanos circundantes.
La alta precisión, exactitud y conformación de dosis requeridas para garantizar la seguridad del paciente y poder administrar dosis tan altas en menos sesiones de las habituales, amerita un equipo humano y tecnológico precisos; sólo a manera de ejemplo: 1 sesión de SBRT de 24 Gy a un cuerpo vertebral metastásico equivale a 34 sesiones de 2.0 Gy.
Salvo casos debidamente documentados y justificados por un equipo médico multidisciplinario y con el consentimiento informado firmado por todas las partes, siempre será necesaria la confirmación histológica porque la misma entre otras condiciones influye en la prescripción de dosis y el estado general del paciente, refleja pronóstico e historia natural de la enfermedad.
Aún con COVID-19, seguimos tratando pacientes, respetando las medidas de seguridad establecidas, pero en procura de lograr un menor número de visitas a clínicas y hospitales, para lograr el aislamiento social necesario y poder frenar esta pandemia, la radiocirugía intra y extra craneal, previa evaluación y justificación de cada caso, aunque son ampliamente conocidas desde antes, representan excelentes opciones terapéuticas que deberían ser consideradas por las ARS, tomando en cuenta la seguridad, tecnología, dosis y conocimientos necesarios, en beneficio de nuestros pacientes, sus afiliados.


SBRT en metástasis vertebral








